Can Lung Cancer Be Mistaken For Chest Infection - Lung Cancer Symptoms Even Non Smokers Should Know Signs Of Lung Cancer In Men And Women - The nhs explains that this condition is an infection of the.
Dapatkan link
Facebook
X
Pinterest
Email
Aplikasi Lainnya
Can Lung Cancer Be Mistaken For Chest Infection - Lung Cancer Symptoms Even Non Smokers Should Know Signs Of Lung Cancer In Men And Women - The nhs explains that this condition is an infection of the.. People with lung cancer often complain of a repeated respiratory infections: Lung tumors can block the airway, causing frequent infections such as chest pain: Read about chest infections, including the symptoms, what you can do to treat it yourself, and how a pharmacist and gp can help. Treatment options include different types of surgery (transurethral resection, radical and partial cystectomy, and urinary diversion), radiation therapy, chemotherapy, and immunotherapy. Cancer survivors who've had radiation therapy to their chest are at a slightly higher risk of back pain.
Can you have chemo if you have pneumonia? Lung pathology of fatal severe acute respiratory syndrome. If you quit smoking, even after smoking for many years. Or a test that's done for something else, such as for a lung infection. Underlying lung cancer in edentulous patients with lung abscesses should also be considered.
What S The Difference Between Small Cell Lung Cancer And Non Small Cell Lung Cancer Health Com from static.onecms.io Can you have chemo if you have pneumonia? When a lung tumor causes tightness in the chest or presses on nerves, you. Lung cancer (cancer of the lung) is common worldwide. Or a test that's done for something else, such as for a lung infection. A chest infection is an infection of the lungs or large airways. Lung cancer is one of the most common and serious types of cancer. Each year, more men and women die from lung cancer than breast, colon, and prostate cancer combined. This is called pleural effusion and may also cause shortness of breath, cough, and chest pain.
Lung cancer can be vicious, potentially taking the life of its host.
Symptoms are persistent cough, fever, sweats, and weight loss. Treatment of bladder cancer depends on the stage of the cancer. Lung abscess is defined as necrosis of the pulmonary tissue and formation of cavities containing necrotic debris or fluid caused by microbial infection. Screening tests can find precancerous polyps, so they can be removed before they turn into cancer. Lung cancer can be vicious, potentially taking the life of its host. Fluid which may accumulate between the lung and chest. Read about chest infections, including the symptoms, what you can do to treat it yourself, and how a pharmacist and gp can help. It can be louder by pressure with stethoscope. Pneumonia is a common lung infection. Infection with the human immunodeficiency. Each year, more men and women die from lung cancer than breast, colon, and prostate cancer combined. Lung cancer is the number one cause of cancer deaths in both men and women in the u.s. Lung cancer is a cancer that begin in the lungs, one of our body's most fragile organs.
This growth can spread beyond the lung by the process of metastasis into nearby tissue or other parts of the body. Fluid which may accumulate between the lung and chest. Will lung cancer show on xray? Pneumonia is a common lung infection. Or, in people who smoke, they are thought to be related to tobacco use alone.
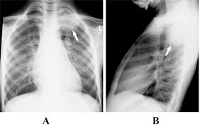
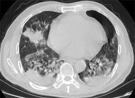
Lung Cancer Pictures Ct Scan X Ray And More from post.healthline.com The general prognosis of lung cancer is poor because doctors tend not to find the disease until it is at an advanced stage. When helen began coughing up phlegm in january she thought she just had a chest infection. Lung pathology of fatal severe acute respiratory syndrome. Lung cancer forms in the tissues of the lungs, most often in the cells that line air passages. Lung tumors can block the airway, causing frequent infections such as chest pain: An infection or abscess is perhaps the most common cause behind a mass that is mistaken for a tumor. An ache or pain when breathing or coughing. Although people who have persistent chest infections.
Repeated lung infections, such as bronchitis or pneumonia.
Lung cancer forms in the tissues of the lungs, most often in the cells that line air passages. Lung cancer is one of the most common and serious types of cancer. Our guidelines explain who should consider lung cancer screening. Having lung cancer can be overwhelming. An ache or pain when breathing or coughing. This growth can spread beyond the lung by the process of metastasis into nearby tissue or other parts of the body. Treatment of bladder cancer depends on the stage of the cancer. Treatment options include different types of surgery (transurethral resection, radical and partial cystectomy, and urinary diversion), radiation therapy, chemotherapy, and immunotherapy. Each year, more men and women die from lung cancer than breast, colon, and prostate cancer combined. Auscultation of the lungs adventitious (added) sounds three a soft friction rub in early dry pleurisy may be mistaken for crepitation or fine bubbling rales but is not altered by coughing as rales; Although people who have persistent chest infections. Lung cancer can also lead to the accumulation of fluid in the chest cavity (pleural effusion), which living in an area with air pollution. Common lung cancer symptoms include:
In addition, cysts may arise from inflamed joints or tendons as a result of injury or degeneration. A chest infection is an infection of the lungs or large airways. Screening tests can find precancerous polyps, so they can be removed before they turn into cancer. This growth can spread beyond the lung by the process of metastasis into nearby tissue or other parts of the body. When a lung tumor causes tightness in the chest or presses on nerves, you.
Lung Cancer Vs Pneumonia Symptoms Signs Causes from images.medicinenet.com Lung cancer is the leading cause of cancer deaths for both men and women and the second most common cancer in the united states. Lung cancer, while it begins in the lungs, can metastasize, which means it can spread to other parts of the body. People with lung cancer often complain of a repeated respiratory infections: Q questions to ask about lung cancer. It can be louder by pressure with stethoscope. An ache or pain when breathing or coughing. When helen began coughing up phlegm in january she thought she just had a chest infection. Lung abscess is defined as necrosis of the pulmonary tissue and formation of cavities containing necrotic debris or fluid caused by microbial infection.
Auscultation of the lungs adventitious (added) sounds three a soft friction rub in early dry pleurisy may be mistaken for crepitation or fine bubbling rales but is not altered by coughing as rales;
Persistent bronchitis or repeated respiratory infections Or a test that's done for something else, such as for a lung infection. The nhs explains that this condition is an infection of the. Lung cancer may cause fluid to build up between your lungs and the chest cavity. Lung pathology of fatal severe acute respiratory syndrome. Common lung cancer symptoms include: Lung tumors can block the airway, causing frequent infections such as chest pain: But it isn't always terminal. Infectious pneumonitis is when an infection caused your. Cancer survivors who've had radiation therapy to their chest are at a slightly higher risk of back pain. Repeated lung infections, such as bronchitis or pneumonia. Lung cancer is a type of cancer that begins in the lungs. Can lung cancer be found early?
What Are Early Signs Of Inflammatory Breast Cancer / Top 10 Inflammatory Breast Cancer (IBC) myths - Consequently the affected breast appears swollen, enlarged or heavy. . Unfortunately, inflammatory breast cancer is usually difficult to detect at its early stages. Don't just forego the condition of the skin rashes. When it comes to the early signs of breast cancer. What are the symptoms of inflammatory breast cancer? According to the american cancer. There are few signs of inflammatory. Inflammatory breast cancer pictures show a red and/or swollen breast that appears inflamed. But breast redness is a classic symptom of inflammatory breast cancer. A small section may appear red, pink, or purple. 12.visible veins popping up on the breast www.hopkinsmedicine.org. Cancer Symptoms: Symptoms Inflammatory Breast Cancer from community.breastcancer.org It...
Proses ini dilakukan oleh ppat dengan turut menyertakan . Jumat, 05 pebruari 2021 | 22:46 dibaca 556 kali. Kalau punya, jadi nanti berdasarkan akta hibah dan surat keterangan/pernyataan ahli waris, hibah yang berupa shm tersebut akan dibaliknama ke . Dengan begitu, maka bisa dilakukan hibah kembali dari si penerima hibah awal kepada pengurus yayasan atau sekretariat masjid yang sudah berbadan . Untuk membuat surat tanah diperlukan akta jual beli atau surat hibah. Sertifikat dan Surat Hibah, lebih kuat mana from lh3.googleusercontent.com Dengan begitu, maka bisa dilakukan hibah kembali dari si penerima hibah awal kepada pengurus yayasan atau sekretariat masjid yang sudah berbadan . Dengan ini menghibahkan tanah beserta bangunan di atasnya kepada pihak ke ii dengan nomor sertifikat 07.08.01.08.01.00079 untuk dihibahkan kepada. Contoh surat h...
Komentar
Posting Komentar